antibioest nl medium shot man with chest pain

CAS CLINIQUE – Pneumonie aiguë communautaire

Testez vos connaissances sur la prise en charge d’un patient présentant des difficultés respiratoires.

Retrouvez toutes les recommandations sur votre application smartphone Antibioguide, le site AntibioClic ou sur le site de la Haute Autorité de Santé www.has-sante.fr

/4
antibioest nl medium shot man with chest pain

Bon usage des antibiotiques & Pneumonie aiguë communautaire

Testez vos connaissances

1 / 4

M. P., 68 ans, consulte son médecin traitant pour toux, fièvre et dyspnée apparues brutalement la veille.

Dans ses comorbidités, on note un diabète de type 2 (dernière Hba1c à 6,8%) et une HTA traitée contrôlée.

Il est tabagique actif évalué à 22 PA. Il ne boit pas d’alcool.

Il n’a pas d’allergie.

A l’examen physique, on note une PA à 135/90 mm Hg, une fréquence cardiaque régulière à 86/min, une saturation en air ambiant à 94%, une FR à 18/min et une température à 38,7°C. L’auscultation pulmonaire note un foyer de crépitants en base droite.

Vous suspectez une pneumonie aiguë communautaire (PAC).

Question 1 :
Quel(s) examen(s) complémentaire(s) demandez-vous pour confirmer votre suspicion diagnostique clinique ?

antibioest nl doctor tending patient

2 / 4

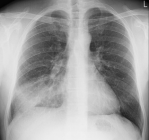
Le diagnostic est confirmé par la radiographie pulmonaire.

Question 2 :

Quel antibiotique prescrivez-vous ?

antibioest nl radiographie pulmonaire

3 / 4

Vous revoyez le patient 3 jours après le début de son traitement antibiotique. Il se sent beaucoup mieux. La pression artérielle est à 130/85 mm Hg, la fréquence cardiaque est à 70 bpm, il est apyrétique, la saturation est à 96% en air ambiant et la fréquence respiratoire à 12/min.

Question 3 :

Quelle durée totale d’antibiothérapie proposez-vous ?

doctor consoling senior man

4 / 4

Question 4 :

Chez ce patient, il est recommandé de réaliser une surveillance radiologique. Par quel examen ?

antibioest nl surveillance

Votre score est

0%

Quitter

Vos réponses sont anonymes mais sont enregistrées par nos services à des fins statistiques.

Je partage cette page
à mes proches ou sur les réseaux